611 E Burlington St, Iowa City, IA 52240
Exceptional Dental Care for Patients Who Expect More
New Patients Welcome

Welcome to The Dental Lounge
Welcome to The Dental Lounge, where modern dentistry meets thoughtful care. Our practice is built around delivering comprehensive dental services with precision, comfort, and clarity. Through advanced technology, personalized treatment planning, and an attentive team, we provide an experience that is both elevated and approachable.
We take the time to understand your goals, explain your options, and create care plans designed for lasting health and function. Here, dentistry is never rushed and your experience always comes first.

Meet
Dr. Shaan Desai
Dr. Shaan Desai’s path to dentistry has always been guided by discipline, curiosity, and a drive for excellence. Raised in northwest Iowa, he developed a strong foundation early on—balancing academics, athletics, and the arts. Whether competing at the highest level in golf or performing as a lead saxophonist in jazz band, his commitment to precision and performance was evident long before he entered the dental field.
Dr. Desai continued his education at Simpson College, where he pursued studies in biology, chemistry, and mathematics while competing on the varsity golf team and graduating with honors. This combination of analytical thinking and creative discipline continues to shape his thoughtful, detail-driven approach to patient care.
He went on to earn his dental degree from the University of Iowa College of Dentistry, where he received extensive training in comprehensive dentistry and contributed to published research in cleft lip and palate genetics. Today, Dr. Desai brings that same depth of focus and intention into every patient interaction—delivering care that is both clinically advanced and genuinely personal.
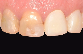
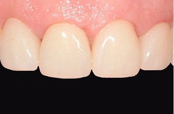
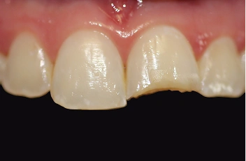
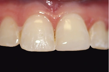
Comprehensive Dental Care for Every Smile
Smile Makeovers
Dental Implants
Emergency Dentistry
Preventative Dentistry











